NEW!

ZenSeal Pro

Calcium Silicate-Based Bioceramic Root Canal Sealer
PLAY VIDEO
One Tip, More Canals, Maximum Confidence
ZenSeal Pro is designed to be cost-effective, reducing material waste per application and saving money for dental practices.
REQUEST A DEMO
zensealpro-comparisson-graph@2x

 

ZenSeal Pro can be
used on 9 more root
canals compared to
EndoSequence Sealer.*
*Assuming 18 μL used per tooth.
More Advantages With ZenSave™ Tips
  • Extremely flexible, 25g a polymer delivery tip
  • Improves flow and delivery of materials in complex 
    root canal curvatures
  • Easily trimmable to shorter lengths
  • Rotatable and bendable shoulder for 
    optimum positioning and prevents clogs

REQUEST A SAMPLE

tip-comaprisson-image@2x

A Sealer For All Obturation Techniques

 

continous-wave@2x-1
Continuous Wave
single-cone@2x-1
Single Cone
warm-vertical@2x-1
Warm Vertical

“The canal presented some internal reabsorption. Great results were achieved with this obturation technique and thanks to the great flowability of ZenSeal Pro”

– Dr. Valeria Range1

zenseal-pro-product@2x
REQUEST A DEMO

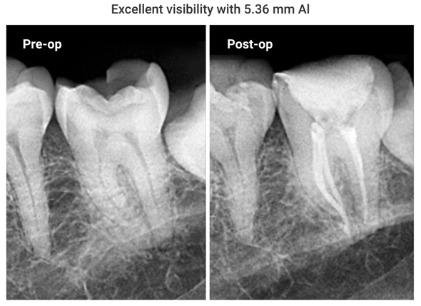
Screenshot 2026-03-24 105228

 

 

 

 

 

Excellent Radiopacity

The highly radiopaque and hydrophilic sealer provides tight

adhesion to both dentin and gutta percha points.

REQUEST A DEMO

radiopacity@2x

 

The Numbers Speak Louder than Words:

9
More Root Canals*
33.5%
Less Waste*
$ 0 +
Saved*
0
Compromises
on Quality*
doctor-zensealpro@2x

Make the Most of What
You’ve Paid for

Category
ZenSeal Pro
Brasseler HiFlow
Root canals/1.5g Syringe
57
48
Syringes per year (assuming avg 25 a week,1,250 root canals per year) 50 weeks a year
22
26
Cost per syringe
$190.31
$221.55
 Save Over $1,500 Per Year* 
$4,186.82
$5,760.30

Pricing Pulled November 14 2025 from Brasseler Website

REQUEST A DEMO

Learn more about the science >

*Syringes per year (assuming avg 25 a week,1,250 root canals per year) 50 weeks a year. Data on file.
1. Dr. Valeria Rangel is a not paid consultant of Kerr. The opinions expressed in this article are those of Dr. Rangel. Kerr is a medical device manufacture and does not dispense medical advice. Clinicians should use their own professional judgment in treating their patients.